Αισθητική Ορθοδοντική
Η ορθοδοντική θεραπεία αφορά παιδιά και ενηλίκους και περιλαμβάνει είτε κινητούς είτε ακίνητους μηχανισμούς. Ειδικά για τη δεύτερη κατηγορία ασθενών και λόγω αυξημένων αισθητικών απαιτήσεων, εκτός από τα κλασσικά μεταλλικά σιδεράκια, ενδείκνυται η ορθοδοντική θεραπεία με γλωσσικά, με κεραμικά σιδεράκια ή με διαφανείς νάρθηκες.
Τα κεραμικά σιδεράκια έχουν ένα αρκετά αισθητικό αποτέλεσμα μιας και έχουν την ίδια απόχρωση με το χρώμα των φυσικών δοντιών ενώ παράλληλα εγγυώνται μια αποτελεσματικότατη θεραπεία
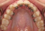
Τα γλωσσικά σιδεράκια τοποθετούνται στην εσωτερική επιφάνεια των δοντιών με αποτέλεσμα να ικανοποιούνται όλες οι αισθητικές ανάγκες ακόμα και του πιο απαιτητικού ασθενή.



