Απονευρώσεις νεογιλών δοντιών
 
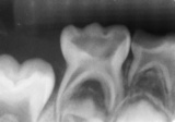
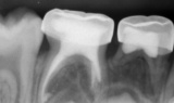
Συχνά σε νεογιλά δόντια που είναι αρκετά χαλασμένα η τερηδόνα (μικροβιακή μόλυνση) φτάνει ως το νεύρο του δοντιού. Σε αυτές τις περιπτώσεις και ανάλογα με την «έκταση» της μόλυνσης υπάρχουν δύο επιλογές, αυτή της πολφοτομής (μισής απονεύρωσης) και αυτή της ενδοδοντικής θεραπείας (πλήρους απονεύρωσης) του νεογιλού δοντιού.
Στην πολφοτομή το πάνω μέρος (μολυσμένο) του νεύρου αφαιρείται και το μέρος του νεύρου των ριζών, μετά την τοποθέτηση κάποιων φαρμάκων, διατηρείται μέχρι φυσιολογικά αυτές να απορροφηθούν (λιώσουν) καθώς φυτρώνει το μόνιμο δόντι.
     Κατά την πλήρη ενδοδοντική θεραπεία αφαιρείται όλο το νεύρο, το δόντι καθαρίζεται και τοποθετούνται στο εσωτερικό του βιοσυμβατά υλικά που απορροφούνται μαζί με τις ρίζες του νεογιλού δοντιού όταν είναι να αλλαχθεί.




